COMMUNITY

ÃÖ°íÀÇ ±â¼ú·Â°ú ÃÖ»óÀÇ Ç°Áú,
ÂøÇÑ °¡°ÝÀ¸·Î º¸´äÇÏ¿© µå¸®°Ú½À´Ï´Ù.

Ä¿¹Â´ÏƼ
Community

  • Ȩ
  • Ä¿¹Â´ÏƼ
  • ÇÁ·Î¸ð¼Ç

ÇÁ·Î¸ð¼Ç

ÇÑÁ¤±â°£ ¾Æ¹Ù¹ÙÀÌ¿À Á¦°øÇϴ Ưº°ÇÑ °¡°Ý
Á¦¸ñ CUSABIO) Citations in March: The Products You Can Count, The Results You Can Trust
ÀÛ¼ºÀÚ abbabio
ÀÛ¼ºÀÏÀÚ 2021-04-15
Á¶È¸¼ö 496
If you are unable to see the message below, click here to view

Fascinating Articles at March from CUSABIO

Definitely, You Can Do it!

ELISA kit

Literature informationProduct informationPictures
Mapping the immune microenvironment for mandibular alveolar bone homeostasis at single-cell resolution

Bone Research
(IF: 11.508)

Mouse OSM ELISA Kit (CSB-E04697m)

Sample Types: serum, plasma, cell culture supernates, tissue homogenates

Detect Range: 3.12 pg/mL-200 pg/mL
Sensitivity: 0.78 pg/mL

Foetal 25-hydroxyvitamin D moderates the association of prenatal air pollution exposure with foetal glucolipid metabolism disorder and systemic inflammatory responses

Environment International
(IF: 7.577)

Human hs-CRP ELISA Kit (CSB-E08617h)

Sample Types: serum, plasma, cell culture supernates, tissue homogenates

Detect Range: 0.625 ng/mL-40 ng/mL
Sensitivity: 0.156 ng/mL

Protocatechuic aldehyde protects cardiomycoytes against ischemic injury via regulation of nuclear pyruvate kinase M2

Acta Pharmaceutica Sinica B
(IF: 7.097)

Rat hs-CK-MB ELISA Kit (CSB-E14403r)

Sample Types: serum, urine, tissue homogenates, plasma

Detect Range: 0.312 ng/mL-20 ng/mL
Sensitivity: 0.078 ng/mL

Loss of mitochondrial aconitase promotes colorectal cancer progression via SCD1-mediated lipid remodeling

Molecular Metabolism
(IF: 6.448)

Human malonyl coenzyme A ELISA Kit (CSB-E13877h)

Sample Types: serum, plasma, tissue homogenates

Detect Range: 0.625 ng/mL-40 ng/mL
Sensitivity: 0.156 ng/mL

Protein

Literature informationProduct informationPictures
Electrochemical immunosensor with Cu2O nanocube coating for detection of SARS-CoV-2 spike protein

Microchimica Acta
(IF: 6.232)

Recombinant Human SARS-CoV-2 Spike Protein (CSB-MP3324GMY)

Express System: Mammalian cell

Species: SARS-CoV-2
Tag Info: N-terminal 10xHis-tagged and C-terminal Flag-tagged

Antibody

Literature informationProduct informationPictures
Multiplexed Microfluidic Cartridge for At-Line Protein Monitoring in Mammalian Cell Culture Processes for Biopharmaceutical Production

ACS Sensors
(IF: 7.333)

LDHA Antibody, HRP conjugated (CSB-PA00045B0Rb)

Species Reactivity: Human
Application: ELISA

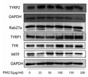
Particulate matter promotes hyperpigmentation via AhR/MAPK signaling activation and by increasing ¥á-MSH paracrine levels in keratinocytes

Environmental Pollution
(IF: 6.792)

MITF Antibody (CSB-PA173368)

Species Reactivity: Human, Mouse
Application: WB, IHC, ELISA

As the COVID-19 pandemic evolves, we are with you during these turbulent times. CUSABIO appreciates the critical role that you and our products play in research efforts to further scientific innovation and discovery. We know that many scientists are diligently pursuing their research throughout the pandemic. Our customer service and technical support teams are equipped to remain available to help with your research needs and answer any questions.

Kit
Protein
Antibody
Molecular Biology
CUSABIO TECHNOLOGY LLC
Postal Address: 7505 Fannin St. Ste 610-312, Houston, TX 77054, USA
Tel: 301-363-4651£¨Available 9 a.m. to 5 p.m. CST from Monday to Friday£©
Website: www.cusabio.com
© 2021 CUSABIO All Products For Research Use Only
÷ºÎÆÄÀÏ