COMMUNITY

ÃÖ°íÀÇ ±â¼ú·Â°ú ÃÖ»óÀÇ Ç°Áú,
ÂøÇÑ °¡°ÝÀ¸·Î º¸´äÇÏ¿© µå¸®°Ú½À´Ï´Ù.

Ä¿¹Â´ÏƼ
Community

  • Ȩ
  • Ä¿¹Â´ÏƼ
  • ÇÁ·Î¸ð¼Ç

ÇÁ·Î¸ð¼Ç

ÇÑÁ¤±â°£ ¾Æ¹Ù¹ÙÀÌ¿À Á¦°øÇϴ Ưº°ÇÑ °¡°Ý
Á¦¸ñ Cusabio) Struggle with Research? Take a Look at the Sep. Citations of CUSABIO Reagents!
ÀÛ¼ºÀÚ abbabio
ÀÛ¼ºÀÏÀÚ 2021-10-13
Á¶È¸¼ö 364
If you are unable to see the message below, click here to view

Sep. Citations: CUSABIO Helps You Toward Better Research!

ELISA kit

Literature informationProduct informationPictures
Abnormal levels of mitochondrial proteins in plasma neuronal extracellular vesicles in major depressive disorder

Molecular Psychiatry
(IF: 15.992)

Human CD81 ELISA kit (CSB-EL004960HU)

Sample Types: serum, plasma, tissue homogenates, cell lysates

Detect Range: 0.156 ng/mL-10 ng/mL
Sensitivity: 0.039 ng/mL

Human NADH-ubiquinone oxidoreductase chain 6(MT-ND6) ELISA kit (CSB-EL015082HU)

Sample Types: serum, plasma, tissue homogenates, cell lysates

Detect Range: 23.44 pg/mL-1500 pg/mL
Sensitivity: 5.86 pg/mL

Human NFE2L2 ELISA kit (CSB-EL015752HU)

Sample Types: serum, plasma, urine, tissue homogenates, cell lysates

Detect Range: 31.25 pg/mL-2000 pg/mL
Sensitivity: 7.8 pg/mL

Association of circulating PLA2G7 levels with cancer cachexia and assessment of darapladib as a therapy

Journal of Cachexia, Sarcopenia and Muscle
(IF: 12.914)

Mouse PAF ELISA kit (CSB-E08199m)

Sample Types: serum, plasma, cell culture supernates, tissue homogenates

Detect Range: 0.78 ng/mL-50 ng/mL
Sensitivity: 0.195 ng/mL

Protein

Literature informationProduct informationPictures
Ultramicronized Palmitoylethanolamide Inhibits NLRP3 Inflammasome __Expression__ and Pro-Inflammatory Response Activated by SARS-CoV-2 Spike Protein in Cultured Murine Alveolar Macrophages

Metabolites
(IF: 4.932)

Recombinant Human Novel Coronavirus Spike glycoprotein(S),partial (Active) (CSB-MP3324GMY)

Express system: Mammalian cell

Species: SARS-CoV-2
Tag Info: N-terminal 10xHis-tagged and C-terminal Flag-tagged

Altered T cell subpopulations and serum anti-TYRP2 and tyrosinase antibodies in the acute and chronic phase of alopecia areata in the C3H/HeJ mouse model

Journal of Dermatological Science
(IF: 4.563)

Recombinant Mouse Tyr (CSB-CF025394MO)Species: Mus musculus (Mouse)

Antibody

Literature informationProduct informationPictures
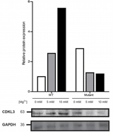
AC-motif: a DNA motif containing adenine and cytosine repeat plays a role in gene regulation

Nucleic acids research
(IF: 16.973)

CDKL3 Antibody (CSB-PA150181)

Species Reactivity: Human
Application: ELISA, IHC

GAPDH Antibody (CSB-PA00025A0Rb)

Species Reactivity: Human
Application: ELISA, WB, IHC, IF

As the COVID-19 pandemic evolves, we are with you during these turbulent times. CUSABIO appreciates the critical role that you and our products play in research efforts to further scientific innovation and discovery. We know that many scientists are diligently pursuing their research throughout the pandemic. Our customer service and technical support teams are equipped to remain available to help with your research needs and answer any questions.

Kit
Protein
Antibody
Molecular Biology
CUSABIO TECHNOLOGY LLC
Postal Address: 7505 Fannin St. Ste 610-312, Houston, TX 77054, USA
Tel: 301-363-4651£¨Available 9 a.m. to 5 p.m. CST from Monday to Friday£©
Website: www.cusabio.com
© 2021 CUSABIO All Products For Research Use Only
÷ºÎÆÄÀÏ