COMMUNITY

ÃÖ°íÀÇ ±â¼ú·Â°ú ÃÖ»óÀÇ Ç°Áú,
ÂøÇÑ °¡°ÝÀ¸·Î º¸´äÇÏ¿© µå¸®°Ú½À´Ï´Ù.

Ä¿¹Â´ÏƼ
Community

  • Ȩ
  • Ä¿¹Â´ÏƼ
  • ÇÁ·Î¸ð¼Ç

ÇÁ·Î¸ð¼Ç

ÇÑÁ¤±â°£ ¾Æ¹Ù¹ÙÀÌ¿À Á¦°øÇϴ Ưº°ÇÑ °¡°Ý
Á¦¸ñ [BT-Lab] BCL-2 family antibodies
ÀÛ¼ºÀÚ abbabio
ÀÛ¼ºÀÏÀÚ 2022-06-23
Á¶È¸¼ö 257
Images can not be displayed? View in browser
BCL-2 Family Antibodies
The ability of a cell to undergo mitochondrial apoptosis is governed by pro- and anti-apoptotic members of the BCL-2 protein family. The equilibrium of pro- versus anti-apoptotic BCL-2 proteins ensures appropriate regulation of programmed cell death during development and maintains organismal health. When unbalanced, the BCL-2 family can act as a barrier to apoptosis and facilitate tumour development and resistance to cancer therapy. (K. J. Campbell, 2018)
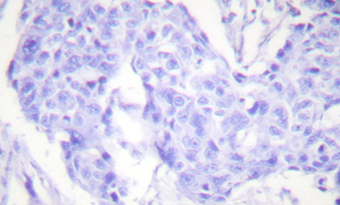
BT-PHS00492
Phospho-BCL-2 (S70) Polyclonal Antibody
BCL-2 is localized to the outer membrane of mitochondria, where it plays an important role in promoting cellular survival and inhibiting the actions of pro-apoptotic proteins.
Know more
BT-AP00872
BCL2L2 Polyclonal Antibody
This gene encodes a pro-survival (anti-apoptotic) member of the bcl-2 protein family, and is most similar to Bcl-xL. The proteins of this family form hetero- or homodimers and act as anti- and...
Know more
BT-AP00900
BIM Polyclonal Antibody
The protein encoded by this gene belongs to the BCL-2 protein family. BCL-2 family members form hetero- or homodimers and act as anti- or pro-apoptotic regulators.
Know more
BT-MCA0871
Mcl-1 Monoclonal Antibody
The protein encoded by this gene belongs to the Bcl-2 family. Alternative splicing occurs at this locus and two transcript variants encoding distinct isoforms have been identified.
Know more
More BT LAB's BCL-2 family products
BT-PHS00646-Phospho-Bcl-2 (S87) Antibody
BT-AP00875-Bcl-x(BCL2L1 ) Polyclonal Antibody
BT-PHS00035-Phospho-Bcl-x (T47) Antibody
BT-AP00831-Bak Polyclonal Antibody
BT-AP11264-Mcl-1(Phospho-Thr163) Rabbit Polyclonal Antibody
BT-AP06940-Mcl-1(Phospho Ser159) Polyclonal Antibody
BT-AP07510-PUMA Polyclonal Antibody
BT-PHS00910-Phospho-Bad (S134) Polyclonal Antibody
BT-AP01879-Cleaved-Bad (D71) Polyclonal Antibody
BT-MCA0213-BID Monoclonal Antibody
BT-AP00898-BID Polyclonal Antibody
BT-AP00787-BID (Cleaved-Arg71) Rabbit Polyclonal Antibody
BT-MCA0203-Bax mouse Monoclonal Antibody(1C1)
BT-MCA0010-Bax mouse Monoclonal Antibody(6F11)
BT-AP00846-Bax Polyclonal Antibody
Shanghai Korain Biotech Co., Ltd Copyright @2022
You received this e-mail because you purchased something from us, signed up online, dropped a business card at a tradeshow, or signed up with a distributor or partner sometime in the past. We only use your information to send updates about BT-LAB as well as content. Have questions or comments, please send them to: save@bt-laboratory.com
or Unsubscribe
÷ºÎÆÄÀÏ